- Cention Forte
je chemicky tuhnoucí, rtg kontrastní výplňový materiál s možností doplňkové fotopolymerace, který uvolňuje bioaktivní fluoridové, kalciové a hydroxidové ionty. Jedná se o unikátní typ kompozitu, tzv. Alkasit
Vlastnosti
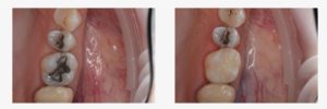
• 100% náhrada zuboviny ideální pro výplně I. a II. třídy
• vysoká pevnost v ohybu >100 MPa zajišťuje odolnost a dlouhou životnost
• JEDEN odstín s translucencí 11% pro přirozený vzhled
• bioaktivní uvolňování iontů včetně unikátních OH iontů
chrání před demineralizací a podporuje remineralizaci
• minimálně invazivní preparace napomáhá zachování
přirozené zubní struktury
100 % přirozený vzhled v barvě zubu

Bioaktivní uvolňování iontů
• uvolňování iontů dle potřeby
• zvýšené uvolňování iontů při nízkém pH
• vykazuje stálé uvolňování iontů po dobu 37 měsíců, tj. 3 roky

Hydroxidové ionty
• regulují hodnotu pH v průběhu ataku kyselin
• napomáhájí zabránit demineralizaci zubní struktury
Fluoridy & vápník
• napomáhájí zabránit demineralizaci zubní struktury
• podporují remineralizaci skloviny
